Wir hatten im September 2015 das Ergebnis des Inform Projektes erhalten. Für einen Signalweg des Tumors gab es ein Medikament, das wir ausprobieren konnten. Bei der Krankenkasse mussten wir Anträge stellen für einen Einzelheilversuch. Wir haben mit dem Medikament Afatinib (Handelsname Giotrif) begonne.
Wir mussten Winston erstmal beibringen Tabletten zu schlucken. Das haben wir erfolgreich mit Smarties geprobt.
Anfangs lief es ganz gut. Wir sollten uns an die empfohlene Dosis langsam herantasten. Eine Dosierempfehlung für Kinder gibt es nicht, da das Medikament in Deutschland nur zugelassen ist für Erwachsene mit metastasiertem Lungenkrebs (weitere Infos unter Gesundheitsinfoseite.)

Nach Absetzen des Medikamens hat Winston ca. zwei Tage gebraucht um wieder einigermaßen normal zu werden. Allerdings war er dauerhaft sehr geschwächt, da die Durchfälle wochenlang angehalten haben.
Wir haben nochmals einen zweiten Versuch gestartet mit einem Zweitagesrhythmus in der Minimaldosierung. Dies hat allerdings auch nicht mehr funktioniert. Wir haben dann die Behandlung abgebrochen. Winston hatte bis Mitte Januar 2016 immer wieder starke Durchfälle und Infekte.
Das einzig Erfreuliche war, dass der Resttumor kein
Wachstum gezeigt hatte.
Als dann im Januar auch Schmerzen in den Beinen dazu kamen wurden wir und die Ärzte etwas nervös, da dies auch Anzeichen sein können für Metastasen bzw. Tumore in der Wirbelsäule.
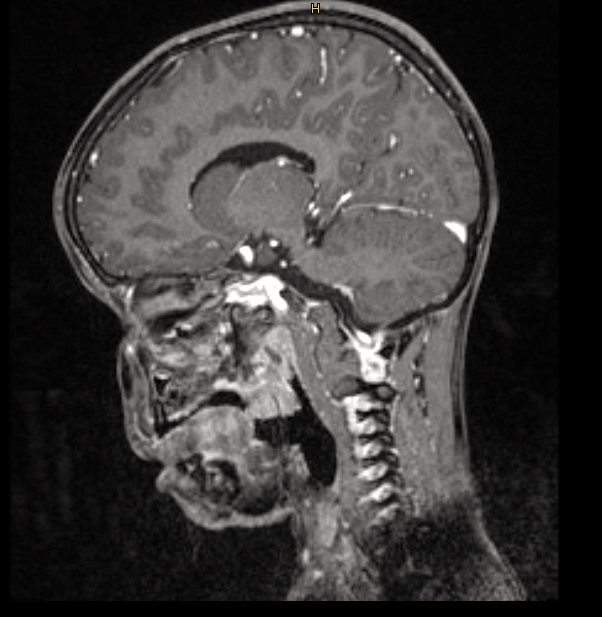
Somit hat man ein MRT der Wirbelsäule gemacht, allerdings mit keinem ins Muster passenden Ergebnis.
Winston war somit von September bis Ende Februar meistens nur eine Woche pro Monat gesund.
Ansonsten hatte er immer wieder Infekte und konnte sehr selten in den Kindergarten.

Unser Lichtblick war dann die Familien-Reha in der Nachsorgeklinik Tannheim.
Formel1 Fahrer Pascal Wehrlein Team Manor Racing |
wurden rundum gut versorgt.
Wir sind mit guten Ideen und Möglichkeiten nach Hause gekommen. Unter anderem haben wir zusätzliche Betreuungszeiten durch den Anna-Verein und damit eine Kunsttherapeutin für Winston und Lilian. Den Kindern macht das viel Spass. Inzwischen nehmen wir auch zwei Mal pro Woche Hilfe im Haushalt in Anspruch und haben für uns Maßnahmen ergriffen, um Körper und Geist ein wenig zu pflegen.